Irán: Radiólogo descubre en tomografía de una joven sana signos de coronavirus en sus pulmones
La mujer de 30 años no tenía síntomas de coronavirus, pero pidió que se le realizará la tomografía para descartar el Covid-19 y el radiólogo iraní, Bahman Rasuli, quedó impresionado con los resultados.
Únete al canal de Whatsapp de El Popular- Confirmado | Exigen el retiro urgente de este pescado de los supermercados por ser un riesgo mortal para la población
- ALARMA en Walmart: ICE se burló y arrestó a padre de familia que huyó de la guerra de Ucrania hacia EE.UU.
Ante la propagación de coronavirus en el mundo, diversos radiólogos de varios países comparten las radiografías y tomografías computarizadas de sus pacientes para entender mejor el daño que ocasiona el covid-19 en los pulmones y los rasgos atípicos del virus.
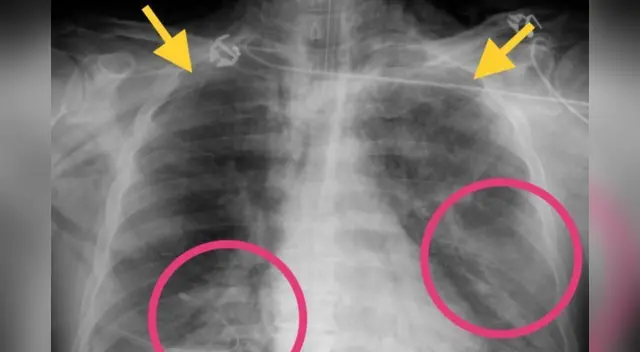
Un radiólogo de Irán, Bahman Rasuli, compartió las impactantes imágenes de una tomografía de una mujer de 30 años donde detectó neumonía severa causada por el coronavirus en los pulmones de la paciente, sin embargo, tenía un estado de salud estable y no mostraba ningún signo de la mortal pandemia, según informó la ABC.
LEE MÁS: Japón: Anciana murió en completa soledad por culpa de un diagnóstico erróneo de coronavirus
Según se informó, la fémina acudió al centro médico porque un pariente suyo murió de covid-19 e "insistió en hacerse una tomografía porque estaba muy preocupada" de haberse contagiado de SARS-CoV-2, los especialistas de la salud accedieron sin presagiar lo que se descubriera.
"Tal vez en Australia no le hubieran hecho una tomografía computarizada a pesar de su insistencia. Pero el médico la vio preocupada por la persona que murió y solo realizamos la tomografía computarizada para aliviar su mente", detalló el experto.
MIRA TAMBIÉN: Viróloga china advirtió sobre el coronavirus un año antes de la propagación de la pandemia en el mundo, pero fue silenciada
Asimismo, las imágenes mostraron “zonas de opacidad en los pulmones” de la paciente, lo cual representa que tenía líquido en esos lugares provocados por la neumonía originada por coronavirus.
Cabe resaltar que el caso de esta mujer iraní facilita a los doctores identificar anormalidades específicas ocasionadas por el covid-19 y “establece los patrones que son similares a los encontrados en las víctimas de los brotes de SARS y SROM”, señaló el medio citado.













