Yair Clavijo murió por edema cerebral y miocardiopatía según necropsia
Únete al canal de Whatsapp de El Popular- Los resultados que necesita Alianza Lima ante 2 de Mayo para avanzar a la fase 2 de la Copa Libertadores
- Selección peruana iría al MUNDIAL 2030 SIN JUGAR Eliminatorias si es que se da UNA CONDICIÓN ESPECIAL
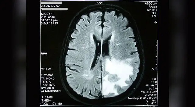
Yair Clavijo, futbolista de la reserva del Sporting Cristal, falleció debido a un edema cerebral con herniación de amigdalas cerebelosas y una miocardiopatia hipertrofica, de acuerdo a los resultados arrojados por el certificado de la necropsia de ley, según informaron medios locales.El documento realizado por los médicos legistas María Luisa Valencia Tejada y Evelyn Casamanca Monteagudo, también indica que el agente causante sería una patología cardíaca. El cuerpo de Yair ingresó ayer por la tarde a la Morgue Central del Cusco, trasladado desde el hospital de Urcos donde se certificó su deceso.Es preciso indicar que en estos momentos, el cadáver de Clavijo viene pasando por el proceso de embalsamamiento respectivo, en una funeraria de la Ciudad Imperial, para facilitar su trasladado a Lima en las próximas horas. Familiares del joven futbolista se hicieron presentes en la morgue para retirar del cadáver de Yair, y evitaron dar alguna declaración a la prensa.SOBRE EL EDEMA CEREBRALEdema cerebral es la acumulación de líquido en los espacios intra o extracelulares del cerebro, donde las neuronas cerebrales aumentan su tamaño debido a un aumento anormal del volumen de plasma intracraneal.Las principales causas son la hiponatremia, isquemia, accidente cerebrovascular y traumatismos craneoencefálicos (rotura de los vasos sanguíneos que provoca una hemorragia cerebral, aumentando el cuerpo celular de las neuronas mediante ósmosis).El Edema Cerebral también puede estar provocado por hipoxia de altitud, siendo denominado como "Edema Cerebral de Altitud". El distrito de Urcos se ubica a 3.158 msnm.SOBRE LA MIOCARDIOPATÍA HIPERTRÓFICALa miocardiopatía o cardiomiopatía hipertrófica es una enfermedad del miocardio (músculo del corazón), donde una porción de él está hipertrofiado o engrosado sin causa aparente.La importancia principal de la miocardiopatía hipertrófica radica en ser una de las causas de muerte súbita cardíaca en cualquier grupo de edad y una causa importante de síntomas cardíacos debilitantes.
Revisa todas las noticias escritas por el staff de redactores de El Popular.














